القطيف – فرسان الرياضة
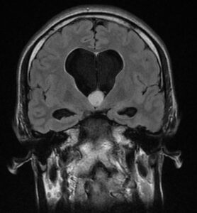
أنقذ فريق قسم جراحة المخ والأعصاب في مستشفى القطيف المركزي حياة مقيم (٣١ سنة) عانى من استسقاء دماغي حاد، بعد خضوعه لعملية نوعية لاستئصال كيس غرواني عميق باستخدام المنظار الجراحي.
وكان المريض يعاني من صداع شديد في الرأس وقيء متكرر منذ أكثر من شهر، وبعد عمل الأشعة اللازمة تم تشخيص الحالة ومباشرتها، وتحديد تدخل جراحي عاجل للمريض.
و استغرق الإجراء الجراحي أقل من ساعتين وتماثل المريض للشفاء بعد العملية ، ورجع لكامل وعيه في وقت قصير وبينت الأشعة بعد عملية استئصال الكيس بشكل كامل، عدم وجود نزف أو مضاعفات وتحسن الاستسقاء الدماغي بشكل ملحوظ.
ويعتبر التدخل الجراحي بالمنظار من أحدث الطرق العالمية لعلاج هذا النوع من الأكياس، ويعجل استشفاء المريض من الإجراء الجراحي مقارنة بالفتح التقليدي للجمجمة، والمرور من خلال مادة الدماغ إلى البطينات حيث يكون المريض معرض أكثر للمضاعفات المتعلقة بالإجراء الجراحي.
والكيس الغرواني عبارة عن كيس يحوي مادة جلاتينية في موقع حساس حيث يسد مجرى تصريف السائل الدماغي في الدماغ، مما يسبب الاستسقاء الدماغي وارتفاع ضغط الدماغ، وقد يتسبب بالوفاة المفاجئة لا سمح الله في نسبة ٣ – ٣٥% في بعض التقارير الطبية.
وخضع المريض للعملية بقيادة الدكتور عبدالله حسين الرمضان رئيس القسم واستشاري جراحة المخ والأعصاب و شارك في العملية الدكتور راكان عزام أخصائي جراحة المخ والأعصاب وفريق التخدير بقيادة الدكتورة منال أبو السعود ومشاركة د.فاطمه الصلبوخ و د.عفاف الفرج وفني التخدير عمر الجالوق، وبمساعدة الجراحين عبدالله الجفال و
محمد المهنا.
كما ساهم كل من عيسى النصير ورضا السلمان بتنسيق توفير المعدات اللازمة للإجراء الجراحي.
يذكر أن قسم جراحة المخ والأعصاب والعمود الفقري يقدم العديد من العمليات النوعية المتخصصة والتي تواكب أحدث التطورات العملية في المجال، بعد استقطاب الكفاءات المميزة والتي تعمل على تقديم أفضل رعاية ممكنة للمرضى.





